Casos Imposibles.Soluciones seguras.Y tu paciente contigo.
Implantología cigomática al servicio de tu clínica: Nosotros operamos, tú rehabilitas.
El hueso no está, la solución SÍ
El momento crítico en el que el paciente necesita una solución fija y tú no puedes ofrecérsela… aún.
Todos nos hemos encontrado ese caso: Paciente con atrofia maxilar extrema sin posibilidad de colocar implantes convencionales, so pena de un largo tratamiento con injertos y, con un pronóstico no siempre predecible al 100%. Se termina ofreciendo la prótesis removible como única salida, pero el paciente no quiere eso y tú tampoco.
Sabes que existe una solución mejor, pero abordar una cirugía con implantes cigomáticos puede parecer demasiado arriesgado o, simplemente, ajeno a tu práctica habitual.
Aunque la Clínica Ammonite es un proyecto joven, nuestro equipo acumula una amplia trayectoria conjunta en el manejo de atrofias severas mediante implantes cigomáticos y otras técnicas.
Nuestro objetivo: Conseguir la satisfacción completa del paciente, del profesional referidor y con resultados estables a largo plazo.
Todos nos hemos encontrado ese caso: Paciente con atrofia maxilar extrema sin posibilidad de colocar implantes convencionales, so pena de un largo tratamiento con injertos y, con un pronóstico no siempre predecible al 100%. Se termina ofreciendo la prótesis removible como única salida, pero el paciente no quiere eso y tú tampoco.
Sabes que existe una solución mejor, pero abordar una cirugía con implantes cigomáticos puede parecer demasiado arriesgado o, simplemente, ajeno a tu práctica habitual.
Aunque la Clínica Ammonite es un proyecto joven, nuestro equipo acumula una amplia trayectoria conjunta en el manejo de atrofias severas mediante implantes cigomáticos y otras técnicas.
Nuestro objetivo: Conseguir la satisfacción completa del paciente, del profesional referidor y con resultados estables a largo plazo.
Cirugía avanzada con control del paciente
Un modelo de colaboración transparente, profesional y seguro
El momento crítico en el que el paciente necesita una solución fija y tú no puedes ofrecérsela… aún.
En Ammonite Centro Oral, Dental y Maxilofacial en Madrid, realizamos exclusivamente la fase quirúrgica del tratamiento:colocación de implantes cigomáticos con o sin carga inmediata. El resto del tratamiento: planificación protésica, rehabilitación definitiva, mantenimiento, continúa en tu clínica, bajo tu supervisión y con total autonomía.
El proceso de derivación es claro, sencillo y con comunicación continua, y lo más importante: respetamos de forma estricta la relación entre tú y tu paciente. Nuestro trabajo no compite con el tuyo, lo complementa.
Mas de 15 años resolviendo casos complejosjuntos
Nuestro equipo multidisciplinar lleva más de 15 años trabajando de forma conjunta en el campo de la implantología avanzada, dentro de la Cirugía Oral y Maxilofacial y la Odontología.
Estamos especializados en casos límite que requieren técnicas como:
Implantes cigomáticos guiados.
Planificación Digital 3D.
Carga inmediata cuando es viable.
Sedación intravenosa monitorizada.
Colaboramos desde el principio con Southern Implants y Kune Implants en la formación y aplicación clínica de protocolos guiados en cigomáticos.
Te ofrecemos seguridad, confianza, eficiencia y la tranquilidad de contar con un equipo quirúrgico altamente cualificado.
Una solución para tu paciente.
Una tranquilidad para ti.

Tu paciente disfrutará de una rehabilitación fija cuando parecía imposible.

Reforzarás tu imagen como clínico que ofrece soluciones completas, incluso en casos límite.

Evitas riesgos quirúrgicos.

Mantienes el control del tratamiento, sin perder la confianza ni la continuidad del paciente.
APÓYATE EN UN EQUIPO DE REFERENCIA, SIN
RENUNCIAR A TU ROL ASISTENCIAL.
Así de sencillo es derivar un caso complejo
Durante todo el proceso, estamos en contacto.
Primera toma de contacto
Cuéntanos el caso. Nos puedes escribir o llamar. Puedes enviarnos CBCT, registro fotográfico y toda la información que consideres.
Valoración en nuestra consulta
Escuchamos al paciente. Estudiamos su caso. Podemos reunirnos contigo para valorar su plan de tratamiento.
Planificación 3D personalizada
Realizamos CT helicoidal y con FOV ampliado, imprescindible para el diseño de las guías.
Planificamos cuidadosamente la colocación de los implantes teniendo en cuenta, tanto la anatomía maxilofacial como la de la futura prótesis
Intervención quirúrgica
Colocamos los implantes cigomáticos según las guías quirúrgicas que hemos diseñado en planificación 3D.
Podemos hacer carga inmediata. Todo se realiza bajo sedación intravenosa monitorizada
Vuelta a tu clínica
El paciente regresa contigo para completar la rehabilitación
Primera toma de contacto
Cuéntanos el caso. Nos puedes escribir o llamar. Puedes enviarnos CBCT, registro fotográfico y toda la información que consideres.
Valoración en nuestra consulta
Escuchamos al paciente. Estudiamos su caso. Podemos reunirnos contigo para valorar su plan de tratamiento.
Planificación 3D personalizada
Realizamos CT helicoidal y con FOV ampliado, imprescindible para el diseño de las guías.
Planificamos cuidadosamente la colocación de los implantes teniendo en cuenta, tanto la anatomía maxilofacial como la de la futura prótesis
Intervención quirúrgica
Colocamos los implantes cigomáticos según las guías quirúrgicas que hemos diseñado en planificación 3D.
Podemos hacer carga inmediata. Todo se realiza bajo sedación intravenosa monitorizada
Vuelta a tu clínica
El paciente regresa contigo para completar la rehabilitación
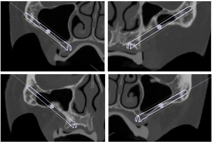
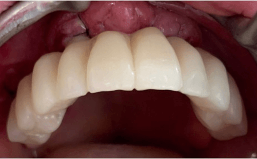
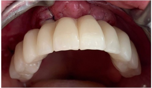
Caso Real – Implantes zygomáticos en Madrid
Rigor, tecnología y experiencia quirúrjica a tu servicio
Paciente con edentulismo completo y reabsorción avanzada en maxilar superior.
Rechaza opción removible.
Se planifica rehabilitación completa con 4 implantes Zygoma.
Planificación 3D y confección de férulas quirúrgicas para abordaje guiado.
Se colocan 4 implantes Zygoma según planificación 3D guiada bajo sedación IV, Carga inmediata a las 24 horas.
La paciente fue rehabilitada de forma definitiva a los tres de meses en su clínica origen.
Dr. Jorge Giner
Cirujano Maxilofacial y Director Médico en Ammonite Centro Oral, Dental y Maxilofacial en Madrid.
FORMACIÓN
- Licenciado en Medicina y Cirugía. Universidad Complutense de Madrid (UCM)
- Licenciado Odontología. Universidad Europea de Madrid (UEM)
- Especialista MIR en CIrugía Oral y Maxilofacial (Accesit premio Fin de Residencia)
- Fellow of European Board in Oral and Maxillofacial Surgery (FEBOMS)
SOCIEDADES CIENTÍFICAS
- Miembro numerario Sociedad Española de Cirugía Oral y Maxilofacial (SECOM)
- Miembro numerario Sociedad Española de Cirugía Plástica Facial (SECPF)
- Miembro numerario European Association for Cranio-Maxillofacial Surgery (EACMFS)
¿Tienes un caso?Hablémos
Estás a un mensaje de ofrecer una solución real y avanzada a ese paciente que parecía no tener alternativa.
Nosotros colocamos los implantes.
Tú sigues siendo su dentista.
Todo el tratamiento queda bajo control.
MAXILODONTO SL es el Responsable del tratamiento de los datos personales del usuario y le informa de que estos datos se tratarán de conformidad con lo dispuesto en el Reglamento (UE) 2016/679, de 27 de abril (GDPR), y la Ley Orgánica 3/2018, de 5 de diciembre (LOPDGDD), por lo que se le facilita la siguiente información del tratamiento: Fines y legitimación del tratamiento: mantener una relación comercial (por interés legítimo del responsable, art. 6.1.f GDPR) y el envío de comunicaciones de productos o servicios (por consentimiento del interesado, art. 6.1.a GDPR).Criterios de conservación de los datos: se conservarán durante no más tiempo del necesario para mantener el fin del tratamiento o mientras existan prescripciones legales que dictaminen su custodia y cuando ya no sea necesario para ello, se suprimirán con medidas de seguridad adecuadas para garantizar la anonimización de los datos o la destrucción total de los mismos.Comunicación de los datos: no se comunicarán los datos a terceros, salvo obligación legal.Derechos que asisten al usuario: derecho a retirar el consentimiento en cualquier momento. Derecho de acceso, rectificación, portabilidad y supresión de sus datos, y de limitación u oposición a su tratamiento. Derecho a presentar una reclamación ante la Autoridad de control (www.aepd.es) si considera que el tratamiento no se ajusta a la normativa vigente.Datos de contacto para ejercer sus derechos: Datos de contacto del delegado de protección de datos: MAXILODONTO SL, Paseo Marqués de Zafra 31, Madrid – sonrisas@clinicaammonite.com


